Образовательная платформа для врачей-стоматологов
Ланс Кисби, доктор медицины
Стеклоиономерные цементы (СИЦ) — это стоматологические пломбировочные материалы. Как сообщили в 1971 году Уилсон и Кент1, ГИЦ не получили признания из-за низкой износостойкости и неспособности хорошо работать на боковых зубах.2
В 2014 году компания GC Corporation представила EQUIA Forte®, первую стеклогибридную технологию, предназначенную для реставраций класса II, несущих нагрузку. В 2019 году компания представила высоковязкую GIC EQUIA Forte® HT Fil, которая отличалась улучшенной прозрачностью и была показана для несущих и не несущих нагрузку реставраций класса I и класса II, а также реставраций класса V. Следующие случаи демонстрируют преимущества EQUIA Forte® HT по сравнению с EQUIA Forte.
Случай 1: EQUIA Forte на молочном клыке
6-летний пациент с плохим сотрудничеством обратился с лицевым кариесом на зубе № H (рис. 1). После удаления кариеса на участок был нанесен кондиционер поверхности (Cavity Conditioner, GC America Inc.) на 10 секунд, промыт в течение 10 секунд, а затем высушен, но не высушен. EQUIA Forte был установлен, ему дали затвердеть, затем нанесли EQUIA Forte® Coat и светоотвердили (Рисунок 2).
Через 1 год (рис. 3) реставрация держалась хорошо, но цвет не совпадал.
Случай 2: EQUIA Forte HT Fil на зубе № J
Кариес присутствовал в дистальной лунке зуба № J (рис. 4). Поскольку при использовании EQUIA Forte HT Fil не требуется адгезив, визиты к стоматологу для пациентов детского возраста могут быть короче. Кроме того, способность материала высвобождать фтор в эмаль и дентин полезна для всех детских пациентов, но особенно для тех, кто подвержен риску развития кариеса.
Была проведена консервативная подготовка (Рисунок 5). Капсула EQUIA Forte HT Fil перемешивалась в течение 10 секунд, материал шприцем вводился в препаровку в течение 10 секунд, конденсировался и контурировался. Через 2 минуты и 30 секунд после смешивания был нанесен и светоотвержден EQUIA Forte Coat (рис. 6); как видно, материал хорошо сочетался с цветом зуба.
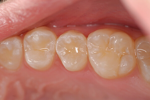
Случай 3: EQUIA Forte HT на зубе № 4 DO
EQUIA Forte HT также является подходящим реставрационным материалом для постоянных зубов. В данном случае зуб № 4 был обработан дистально-окклюзионной (DO) щелевой препаровкой (рис. 7). EQUIA Forte HT Fil был смешан, установлен и контурирован, а EQUIA Forte Coat был нанесен и светоотвержден (рис. 8). Отличное совпадение цвета и способность материала принимать цвет структуры зуба вокруг него были очевидны.
Обсуждение
EQUIA Forte HT Fil — более прочный реставрационный материал для коренных и постоянных зубов с лучшим цветовым соответствием, чем его предшественник.3 EQUIA Forte Coat делает поверхность гладкой, повышает износостойкость и создает более твердый GIC в результате вторичного созревания в течение 24 часов.4
Basso et al. показали, что в 7 лет реставрации EQUIA класса I не имели отказов, а реставрации класса II были успешными в 70% случаев.5 В 4-летнем исследовании, в котором сравнивались EQUIA и композитные смолы, Gurgan et al. сообщили, что у EQUIA было по одному отказу в 3 и 4 года и ни одного в 5 лет.6 Кроме того, Gurgan et al. показали, что в 10 лет кумулятивная частота отказов составила всего 3,17% для реставраций класса I и класса II. Не было отмечено значительных изменений в анатомической форме, вторичном кариесе, послеоперационной чувствительности, текстуре поверхности или ретенции.7
EQUIA Forte HT Fil обладает повышенной прочностью и лучшей эстетикой, чем EQUIA, для коренных и постоянных зубов. Это свидетельствует о том, что стеклогибридный GIC является жизнеспособным долгосрочным реставрационным материалом.
Об авторе
Ланс Кисби, DMD, FASDC, FAAPD, MAGD, Детский стоматолог, стоматологическая клиника Питера Кристенсена, Лак Ду Фламбо, штат Висконсин; сертифицированный специалист по детской стоматологии.
Ссылки
- Wilson AD, Kent BE. Стеклоиономерный цемент: новый полупрозрачный стоматологический пломбировочный материал. J Appl Chem Biotechnol. 1971;21(11):313.
- Croll TP, Nicholson JW. Стеклоиономерные цементы в детской стоматологии: обзор литературы. Pediatr Dent. 2002;24(5):423-429.
- Pascotto R, et al.Stabilization time of chemical bonds in restorative glass-ionomer/glass-hybrid cements. J Dent Res. 2020;99(spec iss A):1051.
- Handoko MW, Tjandrawinata R, Octarina. Влияние покрытия из нанонаполненной смолы на твердость стеклоиономерного цемента. Sci Dent J. 2020;4(3):97-100.
- Basso M, Goñe Benites JM, Ionescu AC, Tassera C. 7-летняя многоцентровая клиническая оценка 154 постоянных реставраций, выполненных с помощью реставрационной системы на основе стеклоиономера. J Dent Res. 2016;95(spec iss B):0446.
- Gurgan S, Kutuk ZB, Ergin E, et al. Четырехлетнее рандомизированное клиническое исследование по оценке клинических характеристик стеклоиономерной реставрационной системы. Oper Dent. 2015;40(2):134-143.
- Gurgan S, Kutuk ZB, Yalcin Cakir F, Ergin E. Рандомизированное контролируемое 10-летнее наблюдение за стеклоиономерным реставрационным материалом в полостях I и II классов. J Dent. 2020;94:103175.
Полезная информация
Политика обработки персональных данных
Согласие на обработку персональных данных
Согласие на получение информационной и рекламной рассылки
Политика использования файлов cookie
© 2012-2026 DentalWebinar.ru | Все права защищены

авторизуйтесь