Образовательная платформа для врачей-стоматологов
Закрытие перфорационного дефекта цементом на основе кальций-силиката с использованием внутренней матрицы: Отчет о случае
Джая Шривастава, MDS; Манодж Кумар Ханс, MDS; Рохит Пол, MDS; Амит Кумар Гарг, MDS; и Риту Шекхар, MDS
Абстракт
В данном отчете описан нехирургический эндодонтический метод лечения дистолингвальной перфорации дна первого моляра нижней челюсти с использованием внутренней матрицы и минерального триоксидного агрегата (МТА). Пульпарная камера была надлежащим образом очищена, и после установки синтетического коллагенового материала, который служил барьером на уровне фуркации, МТА был использован для устранения дефекта перфорации. Лечение корневого канала было завершено, и зуб был восстановлен композитной реставрацией с последующим наложением фарфорово-металлической коронки.
Перфорация является результатом несчастного случая, который может произойти в эндодонтической практике и влияет на прогноз лечения корневого канала. Перфорации являются второй по значимости причиной неудач в эндодонтии, при этом Ингл относит к перфорациям около 9,6% неудач лечения.1
Перфорации могут возникать по различным причинам, таким как кариес, резорбция или ятрогенная травма, вызванная, например, препарированием полости доступа, формированием корональной формы или подготовкой постпространства.1 Они могут произойти во время подготовки постпространства, перфорации полоски или во время извлечения отделенных инструментов.2 При наличии перфораций они могут быть обнаружены на диагностическом этапе лечения в тех областях, где реставрационный материал пересекает рентгенографический интерфейс между дентином и периодонтальной связкой.3,4
Прогноз ремонта перфорации зависит от различных факторов, таких как расположение перфорации, количество времени задержки до ремонта перфорации, способность запечатать дефект и любое предыдущее заражение микроорганизмами. Уровень, на котором произошла перфорация, является определяющим фактором сложности ремонта. Если перфорация произошла в апикальной трети (например, в результате ошибки инструментария), ремонт будет очень сложным. Если перфорация расположена в корональной трети канала (т.е. перфорация доступа) или в фуркальном дне, она считается легкодоступной.4-6
Немедленная репарация предпочтительнее отсроченной, поскольку последняя может привести к разрушению периодонта, что приведет к эндодонто-пародонтологическим поражениям, которые сложнее лечить.7,8 Для репарации перфораций было использовано множество материалов, включая амальгаму, суперэтокси-бензойную кислоту (ЭБА), композитные материалы на бондах и, в последнее время, минеральный триоксидный заполнитель (МТА).9
МТА был представлен более двух десятилетий назад в качестве материала для пломбирования корней. Он содержит смесь 75% портландцемента, 20% оксида висмута, 5% гипса и незначительное количество диоксида кремния, оксида кальция, оксида магния, сульфата калия и сульфата натрия. Имеются два типа МТА: серый и белый. Формула серого цвета содержит оксид кальция, дикальцийсиликат, трикальцийсиликат, трикальцийалюминат, тетракальцийалюмоферрит и дегидрат сульфата кальция, в то время как в формуле белого цвета отсутствует тетракальцийалюмоферрит. В настоящее время МТА используется и в других клинических процедурах, таких как апексификация, укупорка пульпы, ретроградная обтурация и пульпотомия. МТА обладает хорошей адгезией к стенкам дентина, что делает его хорошо устойчивым к силам смещения, поэтому он показан при перфорациях фуркации.1
В данной статье описывается случай постоянного первого моляра нижней челюсти с дистолингвальной перфорацией дна, которую лечили с помощью МТА с внутренней матрицей.
Отчет о случае
Пациент, мужчина 35 лет, обратился в отделение консервативной стоматологии и эндодонтии стоматологического колледжа и больницы K.D., Матхура, Дели, Индия, с основной жалобой на боль и припухлость в нижней левой задней области рта. Это произошло после лечения в частной клинике за 2 дня до этого.
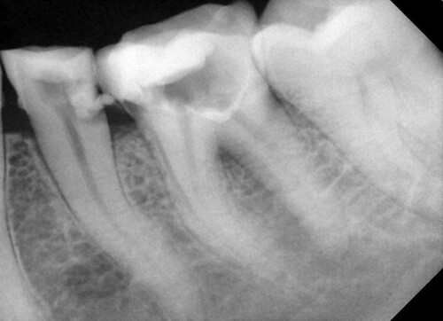
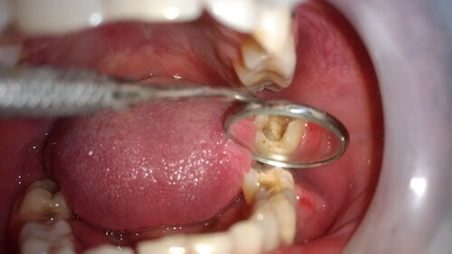
Клинический осмотр выявил наличие десневой ткани через отверстие доступа на нижнечелюстном левом первом моляре, что произошло в частной клинике (рис. 1). При рентгенографическом обследовании на левом первом моляре нижней челюсти была обнаружена перфорация на дистолингвальной стороне дна пульпы. На соседнем премоляре также присутствовал проксимальный кариес (Рисунок 2).
Рис. 2
После введения местной анестезии, под изоляцией резиновой пломбой, отверстие доступа было изменено, и каналы были расположены. С помощью локатора апекса (Root ZX, J Morita, morita.com) рабочая длина была установлена на 1 мм короче рентгенографического апекса и подтверждена с помощью рентгенограммы (рис. 3).
Рис. 3
Формирование каналов проводилось с помощью никель-титанового файла (HyFlex™ CM, Coltene, coltene.com), а очистка проводилась с помощью 5,25% гипохлорита натрия и нормального физраствора. Каналы были расширены до 25/0,04 в мезиальных каналах (мезиобуккальном и мезиолингвальном) и 30/0,04 в одном дистальном канале. Небольшой кусочек синтетического коллагенового материала (CollaTape®, Zimmer Biomet Dental, zimmerbiometdental.com) был аккуратно уплотнен для создания барьера на уровне фуркации. Серый МТА (MTA Angelus® [Gray], Angelus, angelusdental.com) смешивался в соответствии с инструкциями производителя и укладывался на барьер CollaTape. В каналы были помещены гуттаперчевые точки, чтобы избежать попадания МТА в каналы (рис. 4).
Рис. 4
На МТА накладывали влажную ватную палочку, чтобы способствовать схватыванию материала, а полость доступа пломбировали временным пломбировочным материалом (Cavit™, 3M Oral Care, 3m.com). Установка MTA была подтверждена рентгенографически (рис. 5).
Рис. 5
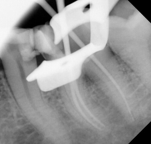
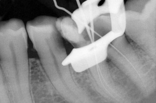
Пациент был вызван на следующий день. Материал Cavit был удален, а MTA проверен на прилегание. Была сделана основная конусная рентгенограмма (рис. 6), и обтурация была проведена по одноконусной методике с помощью герметика корневого канала (AH Plus®, Dentsply Sirona, dentsplysirona.com) (рис. 7). Полость доступа была запломбирована композитной реставрацией и установлена фарфорово-металлическая (PFM) коронка (рис. 8).
Рис. 6
Рис. 7
Рис. 8
Обсуждение
В данной статье сообщается о нехирургическом лечении перфорации в дистолингвальном аспекте дна моляра нижней челюсти биоматериалом МТА с использованием внутренней матрицы. Такие факторы, как уровень и расположение поражения, размер перфорированной области и время, прошедшее между возникновением и устранением перфорации, влияют на прогноз перфораций в области фуркации. Чем больше времени прошло до устранения повреждения, тем хуже прогноз.10
В данном случае перфорация дна пульпарной камеры не была обширной, а время между перфорацией и ремонтом составило всего 2 дня; таким образом, лечение удалось успешно завершить как клинически, так и рентгенографически.
Для успешного лечения необходимо плотно закрыть перфорацию, чтобы закрыть путь заражения и защитить пародонт для оптимального заживления.10 Для лечения перфорации была предложена барьерная (матричная) техника, при которой матрица — которая должна быть стерильной и нераздражающей, состоящая из такого материала, как гидроксиапатит или сульфат кальция, или рассасывающийся коллаген — помещается, поверх которой помещается биоматериал, такой как МТА.10
МТА продемонстрировал меньшую утечку, чем амальгама и супер ЭБА, и является менее цитотоксичным и нейротоксичным, чем другие материалы для восстановления. Несмотря на преимущества МТА, он может быть неудобен в использовании, поскольку требует, чтобы его покрывали влажной ватой и оставляли на 3-4 часа для застывания. Таким образом, протокол эндодонтического лечения требует прекращения процедуры и повторного приема пациента после затвердевания материала, что часто нецелесообразно как для пациента, так и для врача.10
Заключение
Использование внутренней матрицы из рассасывающегося коллагена обеспечивает хороший контроль за конденсацией МТА на матрице. Если бы в данном случае заглушка не была установлена правильно, герметичность была бы плохой. Поэтому использование матрицы из синтетического коллагенового материала позволило правильно установить МТА, что, в свою очередь, обеспечило максимальное уплотнение. Необходимы дальнейшие исследования для развития подхода к установке внутренней матрицы в стандартизированный метод, чтобы матрица могла правильно устанавливаться каждый раз при ее использовании.
Об авторах
- Джая Шривастава, MDS
Аспирант, кафедра консервативной стоматологии и эндодонтии, Стоматологический колледж и больница им. К.Д., Матхура, Дели, Индия - Манодж Кумар Ханс, MDS
Профессор, кафедра консервативной стоматологии и эндодонтии, Стоматологический колледж и больница им. К.Д., Матхура, Дели, Индия - Рохит Пол, MDS
Профессор и заведующий отделением консервативной стоматологии и эндодонтии, Стоматологический колледж и больница им. К.Д., Матхура, Дели, Индия - Амит Кумар Гарг, MDS
Профессор, отделение консервативной стоматологии и эндодонтии, Стоматологический колледж и больница им. К.Д., Матхура, Дели, Индия - Риту Шекхар, MDS
Читатель, отделение консервативной стоматологии и эндодонтии, Стоматологический колледж и больница им. К.Д., Матхура, Дели, Индия
Ссылки
- Makadia N, Patel N, Bhende R, et al. Access related endodontic procedural accidents: a review. Int J Res Health Allied Sci. 2016;2(4):58-65.
- Young GR. Современное лечение боковой перфорации корня, диагностированной с помощью дентальной компьютерной томографии. Aust Endod J. 2007;33(3):112-118.
- Main C, Mirzayan N, Shabahang S, Torabinejad M. Ремонт перфораций корня с использованием минерального триоксидного агрегата: долгосрочное исследование. J Endod. 2004;30(2):80-83.
- Seltzer S, Sinai I, August D. Периодонтальные последствия перфорации корня до и во время эндодонтических процедур. J Dent Res. 1970;49(2):332-339.
- Lantz B, Persson PA. Реакции периодонтальной ткани после перфорации корня в зубах собаки. Гистологическое исследование. Odontol Tidskr. 1967;75(3):209-237.
- Sinai IH. Эндодонтические перфорации: их прогноз и лечение. J Am Dent Assoc. 1977;95(1):90-95.
- Jew RC, Weine FS, Keene JJ Jr, Smulson MH. Гистологическая оценка периодонтальных тканей, прилегающих к перфорациям корня, заполненным Cavit. Oral Surg Oral Med Oral Pathol. 1982;54(1):124-135.
- Simon JH, Glick DH, Frank AL. Взаимосвязь эндодонтических и пародонтологических поражений. J Periodontol. 1972;43(4):202-208.
- Ruddle CJ. Нехирургическое эндодонтическое лечение. J Calif Dent Assoc. 2004;32(6):474-484.
- EghbalMJ, FazlyabM, AsgaryS. Ремонт обширной перфорации фуркации с помощью цемента CEM: исследование случая. Iran Endod J. 2014;9(1):79-82.
Полезная информация
Политика обработки персональных данных
Согласие на обработку персональных данных
Согласие на получение информационной и рекламной рассылки
Политика использования файлов cookie
© 2012-2026 DentalWebinar.ru | Все права защищены

авторизуйтесь