Образовательная платформа для врачей-стоматологов
Adamo E. Notarantonio, DDS
Аннотация
Социальные сети наводнили Интернет красивыми фотографиями фарфоровых реставраций «до и после». Хотя эти изображения могут помочь продвинуть преимущества косметической стоматологии, одна из проблем, к которой это может привести, заключается в том, что пациенты ошибочно полагают, что такие реставрации просты в достижении. Они могут не осознавать, что для достижения таких эстетических результатов необходимо предпринять несколько шагов, причем каждый шаг требует тщательного внимания к деталям. То, что некоторые пациенты могут не оценить, — это точность, которая входит в каждый шаг и которая имеет решающее значение для достижения долгосрочного успеха. От дизайна подготовки и выбора материала до выбора правильного протокола склеивания и цементов ни один шаг в восстановительном процессе не может быть упущен или признан менее важным, чем другие. Представленный случай описывает реабилитацию улыбки с надлежащими протоколами изоляции и цементации.
В современном мире, где так много диктуется скоростью, важность точности может быть упущена из виду. Современные технологии позволяют делать почти все в темпе, который раньше казался невозможным. Это мышление перенесено в клиническую стоматологию, и в некоторых случаях это может быть положительным, но в других это может оказаться проблематичным. По мнению автора, одной из областей, где это может быть проблематично, является цементация фарфоровых реставраций. Для обеспечения успеха этих реставраций решающее значение имеют надлежащая изоляция, химическая обработка реставраций и тканей зубов, а также надлежащие протоколы и методы склеивания. Клиницисты должны понимать, что ни один шаг нельзя упускать из виду, и каждый шаг должен выполняться с максимальной точностью и аккуратностью.
Пятикратный лауреат премии Cellerant’s Technology Award, камера EyeSpecial C-III от SHOFU позволяет сотрудникам делать впечатляющие снимки для документирования случаев заболевания, планирования диагностики и лечения, а также общения и обучения пациентов. Эта цифровая стоматологическая камера имеет восемь запрограммированных режимов съемки.
Презентация кейса
36-летняя пациентка, сама стоматолог, обратилась в кабинет автора за косметической консультацией. Она была недовольна формой и цветом своих существующих зубов, а также несколькими более старыми реставрациями смолы, которые были очевидны на ее зубах (рис. 1 и рис. 2). После тщательной диагностики и планирования лечения в пародонтальном, биомеханическом, функциональном и зубочелюстном аспектах было принято решение двигаться вперед с 10 верхнечелюстными фарфоровыми реставрациями.
Рис. 2
Временные коронки
На первом приеме была сделана полная серия диагностических фотографий, цифровые сканы (iTero®, Align Technology, Inc., itero.com) и трансферт лицевой поверхности (Kois Dentofacial Analyzer, Panodent, panodent.com). Сканы, фотографии и конкретные инструкции по изготовлению воскового слепка были отправлены технику керамисту в зуботехническую лабораторию для изготовления диагностического воскового слепка. Подробный разговор между врачом и пациентом выявил точные параметры, которые она искала, и они были переданы керамисту через фотографии (рис. 3). Диагностический восковой слепок был возвращен из лаборатории (рис. 4). Из воскового слепка была изготовлена силиконовая матрица для создания временных реставраций.
Рис. 3
Рис. 4
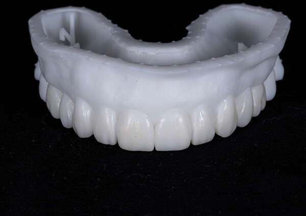
После подготовки и снятия необходимых оттисков, временная реставрация была изготовлена по имеющемуся восковому слепку (InstaTemp® Max, Sterngold, sterngold.com). Поскольку пациенты, проходящие данную процедуру, обычно находятся в состоянии онемения во время установки, автор обычно проводит оценку временных реставраций только через 24-48 часов. В данном случае пациент вернулся через 24 часа для получения фотографий и тщательной оценки, которая включала все необходимые корректировки. Как только временные реставрации были утверждены (рис. 5), фотографии и оттиск были отправлены керамисту, чтобы он мог точно повторить форму, размер и положение реставраций.
Рис. 5
Окончательные реставрации
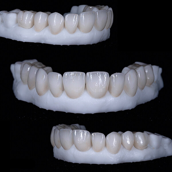
Когда реставрации были возвращены, их примерили на моделях и оценили на предмет внесения каких-либо изменений перед назначением на установку (рис. 6 — рис. 8). Лаборатории были даны особые инструкции не обрабатывать поверхности инталии до возвращения реставраций. Эти конкретные реставрации были изготовлены из литий-дисиликатного фарфора. При получении они были обработаны Porcelain Etchant 9,5% Hydrofluoric Acid (BISCO, bisco.com) (рис. 9), промыты и силанизированы двухкомпонентным силаном.
Рис. 6
Рис. 7
Рис. 8
Рис. 9
В день установки пациенту сделали анестезию и сняли временные протезы. Каждая препаровка была подвергнута воздушной абразии с помощью системы воздушной абразии (PrepStart™, Zest Dental Solutions, zestdent.com) с использованием 50-микронных частиц оксида алюминия. Реставрации были опробованы на предмет прилегания и эстетики. После удаления реставрации были очищены с помощью Uni-Etch® (BISCO) 32%-ного протравливателя фосфорной кислоты с хлоридом бензалкония (BAC), промыты, высушены и повторно просилантированы.
Протокол изоляции
Автор считает изоляцию критическим шагом в достижении идеального бондинга. Его протокол изоляции — это изоляция отдельных зубов с использованием латексной резины (Nic Tone, nic-tone.ro). Первичные зажимы были установлены на вторые моляры, и зубы изолировались по отдельности от верхнего правого второго моляра до верхнего левого второго моляра. Виниры устанавливались по два за раз, начиная с центральных резцов. Для обеспечения полной изоляции и для того, чтобы резиновый пломбир не препятствовал посадке, использовались дополнительные зажимы (B4 Brinker, Coltene Whaledent, coltene.com). По традиции автора, после изоляции была проведена окончательная примерка перед цементированием (рис. 10).
Поверхности зубов были протравлены с помощью Uni-Etch 32% фосфорной кислоты с ВАС в течение 15 секунд. Препараты были тщательно промыты и просушены ватным валиком во избежание высыхания. Наносили два отдельных слоя All-Bond Universal® (BISCO), втирая препараты в течение 10-15 секунд между каждым слоем и не допуская светового отверждения между каждым слоем. Избыток растворителя испарялся горячим воздухом при воздушной сушке в течение 20 секунд с последующей 10-секундной световой полимеризацией.
Винир был облицован Porcelain Bonding Resin (BISCO), ненаполненной смолой, не содержащей HEMA, которая действует как смачивающий агент. Винир был заполнен полупрозрачным цементом для виниров (Choice™ 2, BISCO) (рис. 11) и установлен на место (рис. 12). Каждый винир отверждался в течение 3 секунд, излишки цемента удалялись, и окончательное отверждение составляло 40 секунд для каждой поверхности. Дополнительные зажимы были сняты и перенесены на соседние два зуба (рис. 13 и рис. 14), и тот же протокол был соблюден для всех оставшихся зубов.
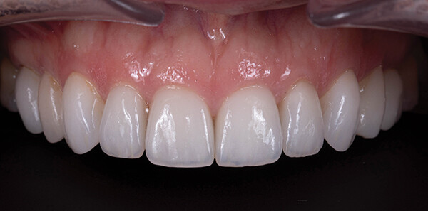
После удаления резиновой пломбы избыток цемента оценивался под трехмерным стоматологическим микроскопом (PromiseVision 3D, Seiler, seilermicro.com). Окклюзия была скорректирована, и пациент был отпущен. Пациент вернулся через 1 месяц для послеоперационного наблюдения и фотографирования, которое показало высокоэстетичный и успешный результат (рис. 15 и рис. 16).
Рис. 11
Рис. 12
Рис. 13
Рис. 14
Заключение
Создание красивой эстетической стоматологии — это не двухэтапный процесс «до и после». Для обеспечения долгосрочного успеха необходимо выполнить несколько этапов с точностью и аккуратностью. Важно не упускать из виду «мелочи», такие как бондинговые материалы и протоколы, а также процедуры фиксации и цементы.
Благодарность
Автор благодарит керамиста, работавшего над этим случаем, Джулиана Кардона, CTG, из Гуаякиля, Эквадор.
Раскрытие информации
Эта статья была написана при коммерческой поддержке компании BISCO.
Об авторе
Адамо Э. Нотарантонио, DDS, Клинический инструктор, программа «Эстетика с отличием», стоматологический колледж Нью-Йоркского университета, Нью-Йорк, Нью-Йорк; частная практика, Хантингтон, Нью-Йорк; член Международного конгресса оральных имплантологов; член Американской академии косметической стоматологии.
Полезная информация
Политика обработки персональных данных
Согласие на обработку персональных данных
Согласие на получение информационной и рекламной рассылки
Политика использования файлов cookie
© 2012-2026 DentalWebinar.ru | Все права защищены

авторизуйтесь