Образовательная платформа для врачей-стоматологов
Клинический случай от члена нашего сообщества доктора Ниши Дешпанде
Данная статья и ее содержание опубликованы под ответственность автора как выражение его собственных идей и практики. Styleitaliano отрицает любую ответственность за визуальное и письменное содержание данной работы.
Молярно-инцизурная гипоминерализация (MIH) была впервые определена в 2001 году Weerheijm et al. как «гипоминерализация системного происхождения, проявляющаяся в виде демаркированных качественных дефектов эмали от одного до четырех первых постоянных моляров (...), часто связанных с пораженными резцами». В 2003 году MIH был описан как развивающийся качественный дефект эмали, вызванный снижением минерализации и неорганическими компонентами эмали, что приводит к обесцвечиванию эмали и разрушению пораженных зубов. Хотя этиология остается неясной, локализованные и асимметричные поражения, по-видимому, имеют системное происхождение. Клиническая картина MIH зависит от степени тяжести и может варьироваться от беловато-кремовых помутнений, желто-коричневых помутнений, постэруптивного разрушения эмали до атипичного кариеса, расположенного как минимум на одном первом постоянном моляре с вовлечением резцов или без них.
Общими клиническими проблемами для пациентов с MIH являются:- Постэруптивное разрушение эмали, приводящее к обнажению дентина, что повышает риск поражения пульпы
- Чувствительность зубов
- Эстетические проблемы
- Трудности при проведении местной анестезии
- Потеря зуба
Девочка в возрасте 12 лет пришла в наш стоматологический кабинет с основной жалобой на темно-коричневый участок на переднем зубе. Она рассказала о своем смущении в школе и социальных ситуациях, когда ее дразнили из-за коричневого пятна, что приводило ее в отчаяние.
Рис. 2
История болезни и осмотр выявили наличие коричневого пятна на 11, 13, 23 и 41. Оба нижних первых постоянных моляра были пролечены корневые каналы в возрасте 9 лет и восстановлены металлическими коронками. На верхних постоянных молярах были большие композитные реставрации с гипоминерализованными поверхностями зубов. В соответствии с классификацией MIH по Mathu — Muju и Wright, данный случай можно отнести к тяжелой степени MIH, т.е. постэруптивное разрушение эмали, разрушение коронки, кариес, связанный с пораженной эмалью, история чувствительности зубов и эстетические проблемы.
Рис. 3
Дооперационный верхний передний зуб крупным планом показывает хорошо демаркированное коричневое пятно с цифрой 11. Поражения на других зубах не были предметом первоочередной озабоченности пациента, поэтому было решено лечить только поражение на 11, а также 23, на котором наблюдалась неровность мезиальной поверхности, что делало его склонным к кариесу. Поражения на 13 и 41 имели твердую поверхность эмали и будут проверяться на регулярных контрольных посещениях для дальнейшего лечения. Зуб 11 будет обработан макроабразией, глубокой инфильтрацией смолы (с помощью ICON, DMG) и композитной реставрацией, а зуб 23 будет обработан апроксимальной композитной реставрацией.
Рис. 4
Изоляция резиновой пломбой является обязательной для обеспечения превосходной защиты мягких тканей и создания свободной от загрязнений среды для инфильтрации поражения и приклеивания композита.
Рис. 5
Макроабразия проводится с помощью большого круглого бора на медленной скорости для удаления поверхностной эмали. Это позволяет глубже проникнуть кислоте, а затем инфильтранту для эффективной маскировки дисколорита. Эмаль удаляется очень плавным, неглубоким и контролируемым движением бора без образования глубоких ямок.
Рис. 6
Грубый диск (Shofu Snap on Disc) используется для сглаживания краев препарирования для лучшего смешивания композитного материала.
Рис. 7
Icon Etch наносится на пораженный участок на 2 мин. Соляная кислота способствует пермеабилизации непористой поверхности эмали.
Рис. 8
После тщательного смывания геля для травления и высушивания поверхности, следующим шагом в технике инфильтрации является Icon Dry (спиртовой раствор). Он наносится на 2 минуты для того, чтобы визуализировать результат, достижимый при инфильтрации смолы. Если желаемый результат не достигнут, эти 2 этапа можно повторить максимум 3 раза, в соответствии с инструкциями производителя.
Рис. 9
Мы решили остановиться после 2 циклов травления и сушки.
После использования майларовой полоски для разделения зубов, Icon Infiltrant наносится на поверхность зуба на 3 минуты, а затем фотоотверждается в течение 40 секунд. Это повторяется еще в течение 1 минуты и фотоотверждается.
Рис. 11
Это ситуация после инфильтрации смолы. Некоторая желтая область все еще видна, но она будет покрыта слоем композитной смолы.
Рис. 12
После добавления композита телесного оттенка (Filtek Z350Xt, 3M) реставрация была закончена и отполирована.
Рис. 13
Фотоотверждение под слоем глицеринового геля.
Рис. 14
Немедленный послеоперационный результат. Мы всегда должны ждать регидратации зубов в течение не менее 48 часов, чтобы оценить окончательный результат.
Рис. 15
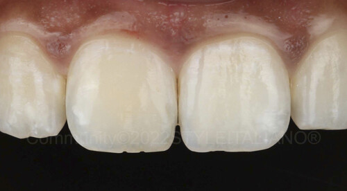
Окончательная ситуация через 2 недели, демонстрирующая приемлемую интеграцию и эстетику.
Рис. 16
Окончательная улыбка.
Выводы
При соблюдении правильных техник и протоколов, ICON может быть использован для лечения дисколораций в эстетической зоне у пациентов с МИГ, обеспечивая им минимально инвазивное решение и приемлемую эстетику, восстанавливая их утраченную уверенность.
Библиография
- Padavala S, Sukumaran G. Molar Incisor Hypomineralization and Its Prevalence. Contemp Clin Dent. 2018;9(Suppl 2):S246-S250. doi:10.4103/ccd.ccd_161_18
- Almuallem, Z., Busuttil-Naudi, A. Molar incisor hypomineralisation (MIH) — an overview. Br Dent J 225, 601-609 (2018). https://doi.org/10.1038/sj.bdj.2018.814
- Attal J P, Atlan A, Denis M, Vennat E, Tirlet G . Белые пятна на эмали: протокол лечения путем поверхностной или глубокой инфильтрации (часть 2). Int Orthod 2014; 12: 1-31.
- Paris S, Schwendicke F, Keltsch J, Dorfer C, Meyer-Lueckel H . Маскировка повреждений белых пятен инфильтрацией смолы in vitro. J Dent 2013; 41: 28-34.
- Шаалан О. Отбеливание, микроабразия и композитная реставрация. 2019 Styleitaliano.org
- Манаута Дж, Салат А. Слои, атлас расслоения композитной смолы. Глава 5. Квинтэссенция Букс, 2012.
Полезная информация
Политика обработки персональных данных
Согласие на обработку персональных данных
Согласие на получение информационной и рекламной рассылки
Политика использования файлов cookie
© 2012-2026 DentalWebinar.ru | Все права защищены

авторизуйтесь