Образовательная платформа для врачей-стоматологов

вебинар
Заголовок страницы
(меняется в настройках)
Длительность и количество лекций
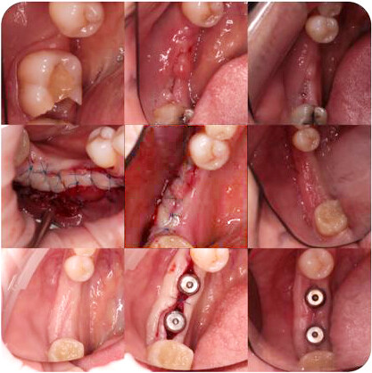
В рамках курса Вы получите полный обзор современных методик восстановления эстетики мягких тканей вокруг имплантатов. Курс включает в себя анализ всех существующих на данный момент техник и методов их проведения, а так же особенности их применения в различных случаях. Вы также ознакомитесь с малоинвазивными методами. В итоге Вы станете более уверенных и компетентным специалистом в области пластики мягких тканей и сможете обеспечить своим пациентам наивысший уровень качественной стоматологической помощи.
Стоимость участия:
Цена (из описания в настройках)
Программа
- Биологическая ширина на имплантате
- Мягкие ткани , окружающие имплантатов
- Мягкие ткани , окружающие зубов
- Биотипы мягких тканей вокруг имплантатов
- Донорские зоны
- Ведение донорской зоны
Клинические кейсы:


Эксперт

Тапдыклы Шабнам Фируддиновна
- Образование: Диплом ФГБОУ ВО «Ивановская государственная медицинская академия Министерства здравоохранения РФ», г. Иваново.
- Ординатура, Диплом, Сертификат специалиста ФГБОУ ВО «Приволжский исследовательский медицинский университет», г. Нижний Новгород.
Вы получаете
- Доступ к вебинару в личном кабинете на 1 месяц
Полезная информация
Политика обработки персональных данных
Согласие на обработку персональных данных
Согласие на получение информационной и рекламной рассылки
Политика использования файлов cookie
© 2012-2025 DentalWebinar.ru | Все права защищены